La mama densa está presente, aproximadamente, en el 50 % de los estudios con mamografía de pacientes en edad de cribado poblacional en España, entre 50 y 69 años, por lo que se trata de una «situación habitual” en la mujer y en la práctica clínica, explica a EFEsalud el doctor Alejandro Tejerina, director del Área de Diagnóstico por Imagen del Centro de Patología de la Mama-Fundación Tejerina.
La mama está compuesta por grasa y por tejido fibro-glandular y se considera densidad mamaria cuando existe más proporción de este tipo de tejido.
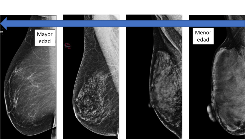
En general, la mama densa es mayor en pacientes jóvenes y va disminuyendo con la edad.
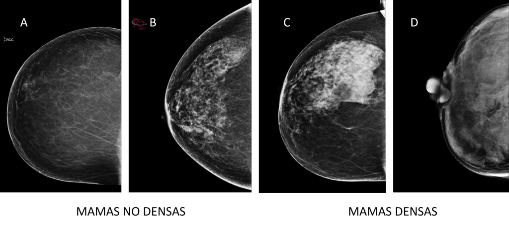
La estimación visual de la mama establece cuatro niveles de densidad:
- A. Las mamas son totalmente grasas.
- B. Hay áreas dispersas de tejido fibro-glandular.
- C. Las mamas son heterogéneamente densas, lo que puede ocultar masas pequeñas.
- D. Las mamas son extremadamente densas, lo que disminuye la sensibilidad de la mamografía.
Así se explica en el libro “Imagen Médica en Patología Mamaria”, una colaboración entre la Universidad Complutense y la Fundación Tejerina, que tiene el propósito de difundir conocimientos actualizados sobre el diagnóstico de diversas patologías mamarias, especialmente dirigidos a profesionales sanitarios.

La distribución de estas categorías en la población en edad de cribado es, aproximadamente, del 10 % con A; 40 % con B; 40 % con C y 10 % con D. Por lo que C y D se considera mama densa.
Mama densa y riesgo de cáncer
Uno de los capítulos del libro está especialmente dedicado a la densidad mamaria, un aspecto habitual en la mujer, pero no por ello menos importante.
La mama densa es un factor de riesgo de cáncer de mama por sí solo, pero también es necesario ponerlo en el contexto de otros factores como es la edad, los antecedentes familiares de cáncer, haber tenido una menstruación temprana o una menopausia tardía, entre otros.
“Una mujer que tiene una mama densa alta, una categoría D, tiene más o menos entre 4 y 6 veces más riesgo de cáncer de mama que otra con mama grasa, una categoría A”, indica el radiólogo Alejandro Tejerina.
De la mamografía a la resonancia
La mamografía convencional refleja el tejido fibro-glandular con áreas más blancas o brillantes, mientras que la grasa aparece representada de forma más oscura.
En la mayoría de los centros de la sanidad pública se realizan, dentro del programa de cribado, mamografías convencionales, aunque ya muchos incorporan la mamografía con tomosíntesis.
El doctor Tejerina explica que la mamografía con tomosíntesis es una técnica más avanzada, en 3D, que aumenta la detección y reduce tanto los falsos negativos, es decir, cuando no se aprecia la lesión maligna, como los falsos positivos.

Pero para ahondar en el estudio de esa mama densa, con tejido fibro-glandular que puede representar un riesgo por sí mismo o enmascarar bultos o masas, los expertos recomiendan una prueba complementaria que descarte anomalías, como es una ecografía de mama en pacientes asintomáticas.
Ahora, la resonancia magnética, con una sensibilidad elevada, se utiliza en pacientes con lesiones malignas y en pacientes que tengan un perfil de riesgo (como tener antecedentes familiares de cáncer de mama o mutaciones genéticas, como el BRCA) y se contempla su utilización en la mama extremadamente densa como prueba de confirmación.
Una alternativa a la resonancia magnética es la mamografía de contraste que tiene la ventaja de ser una prueba más corta y accesible.
Inteligencia artificial, ya una realidad
“Ya es una realidad” la existencia tanto de programas de inteligencia artificial que miden la cantidad de densidad mamaria, como otros que funcionan en la detección del cáncer de mama, señala el radiólogo de la Fundación Tejerina.
Estos últimos hacen una lectura de la mamografía y ofrecen probabilidades de que haya un bajo o alto hallazgo de sospecha.
Lecturas que ponen frente a frente la experiencia e interpretación del profesional de la radiología con la tecnología: “Lo que se ha visto, en muchos estudios, es que los sistemas de lectura combinada, la del radiólogo y la del sistema de inteligencia artificial, aumenta la detección global” de cáncer de mama, asegura el especialista.
Inteligencia artificial que el doctor Alejandro Tejerina considera una “oportunidad” para seguir avanzando en el conocimiento de la mama y para frenar los posibles riesgos frente al cáncer.



Debe estar conectado para enviar un comentario.